Московские нейрохирурги спасли пациентку с редкой опухолью спинного мозга размером шесть сантиметров, сообщается в Telegram-канале столичного департамента здравоохранения.
«Московские нейрохирурги спасли пациентку с редкой опухолью спинного мозга размером шесть сантиметров. Женщина обратилась в Боткинскую больницу с необычной жалобой: онемение и жжение кончика среднего пальца правой руки», — говорится в сообщении.
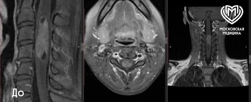
Отмечается, что благодаря исследованию выяснилось, что у пациентки эпендимома — одна из редких опухолей у взрослых. Такие опухоли способны метастазировать по нервной системе, маскируясь под самые разные неврологические болезни.

Московские нейрохирурги спасли пациентку с редкой опухолью спинного мозга
«Мы провели исследование и выявили интрамедуллярную опухоль спинного мозга протяженностью около шести сантиметров — женщине нужна была операция. В нейрохирургическом отделении пациентке удалили опухоль под микроскопом с интраоперационным нейрофизиологическим мониторингом — во время операции специалисты контролировали проводимость и чувствительность», — рассказал Дмитрий Вакатов, заведующий нейрохирургическим отделением №49, чьи слова приводятся в сообщении.
Уточняется, что опухоль успешно удалили, чувствительность восстановилась и пациентка идет на поправку.
«В подобных случаях мы обязательно используем комплексную визуализацию: МРТ и МРТ-трактографию, что позволяет построить детальную карту проводящих путей. Это существенно снижает риск неврологического дефицита», — добавил врач.
